- Bij hielspoor heeft u pijn onder de hiel, pijn onder de hak
- De pijn treedt op bij lang staan, bij opstaan en bij lang lopen
- Pijn en stijfheid hiel of hak bij opstaan uit bed
- Hielspoor komt waarschijnlijk door te lang te veel spanning op de pees onder uw voet. Bijvoorbeeld als u heel lang heeft gestaan of gerend,
- Kies schoenen die veel demping geven, zoals hardloopschoenen
- Blijf bewegen, maar sta of loop niet heel erg lang
- Dit kan een aantal maanden tot een paar jaar duren
Wat is een hielspoor?
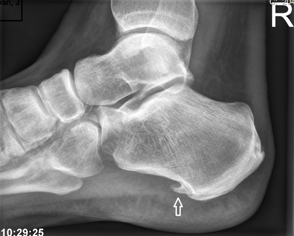
Onder uw voet zit een brede pees. De pees zit tussen de hiel en de tenen (zie afbeelding onder). Deze pees kan overbelast raken, om de voet te beschermen tegen overmatige druk, maakt het lichaam een hielspoor aan. Een hielspoor is dus een versteviging van de aanhechting van de het peesblad.
De plek waar de peesplaat aan de onderkant van de hiel vastzit, kan pijn doen. Als deze peesaanhechting overbelast is, kan er zich een hielspoor vormen. Een hielspoor is een benige versteviging van de peesplaat onder de voet. het lichaam creëert deze verbening om verdere schade van de pees te voorkomen.
Hielspoor komt vooral voor bij mensen tussen de 40 en 60 jaar. Bij kinderen komt hielspoor weinig voor. Meestal komt hielpijn bij kinderen door iets anders. Bijvoorbeeld door de ziekte van Sever.

Afbeelding boven: Geïrriteerde peesplaat (fasciitis plantaris). Het lichaam kan hier een hielspoor bouwen om de pees te versterken. Hieronder ziet u een hielspoor.

Symptonen
U voelt soms een felle pijn onder uw hiel. De pijn is langzaam begonnen en steeds erger geworden.
U kunt de pijn voelen:
- bij (lang) staan en lopen
- bij opstaan in de ochtend: de eerste stappen zijn het pijnlijkst
- als u gaat lopen nadat u lang heeft gezeten
- bij het begin van een sport-training, bijvoorbeeld bij de warming-up
- als u met blote voeten op een harde vloer loopt
- als u op de pijnlijke plek onder uw hiel drukt
- vermoeiende kuiten
- vermoeiende voetspieren
- stijve voeten en kuitspier
- in rust verdwijnen de klachten
Oorzaken hielspoor
Fysiotherapeuten denken dat hielspoor komt doordat er lang of veel spanning is geweest op de pees onder uw voet. Bijvoorbeeld als u heel lang staat of rent.
De pees trekt dan hard aan de plek waar deze vast zit aan de hiel. Dit zorgt voor pijn op deze plek.
Fysiotherapeuten denken dat u een grotere kans heeft op hielspoor bij 1 of meer van deze dingen:
- Ontstaat secundair na het hebben van Fasciitis Plantaris (overbelaste peesplaat onderzijde voet)
- U heeft veel overgewicht
- Hormonaal (vrouwen in overgang hebben vaak last)
- U staat op loopt lang achter elkaar, bijvoorbeeld op uw werk
- U doet aan hardlopen, u heeft de training te snel opgebouwd
- U bent in de overgang (hormonale veranderingen)
- U beweegt heel weinig.
- De onderkant van uw voeten is plat (platvoeten) of juist hol (holvoeten)
- U heeft een korte achillespees (pees op uw hiel)
- U heeft een korte kuitspier
- Gebrek aan vitamine C, of Omega 3 vetzuren
Diagnose
De fysiotherapeut of podoloog kan door echo onderzoek van uw voet zeggen of u hielspoor heeft.
Behandeling Hielspoor Podoloog Arnhem
- Onze podoloog maakt een zool met een gat onder de hiel, zodat het hielspoor minder druk krijgt. De zool zal veel demping nodig hebben om schokken op de hiel te absorberen.
- De fysiotherapeut of podoloog kan u leren tapen
- Losmaken kuiten en enkelgewricht
- Shockwave therapie
- Oefeningen
- Behandelen rug
- Dry Needling
- Hormonaal adviezen Orthomoleculair Therapeut bij Overgang vrouwen
Onze register podoloog Arnhem is tevens fysiotherapeut en podoposturaal therapeut. Doordat wij de combinatie van podologie, fysiotherapie en podo posturale therapie bieden, kijken wij dus met een bredere blik naar uw lichamelijke klachten. Onze podoloog heeft hierdoor een bredere visie op klachten, dan de gemiddelde podotherapeut (podotherapie) in Arnhem. Voor sommige klachten maakt onze podoloog steunzolen, daarnaast kunnen andere problemen worden behandeld door de fysiotherapeut Arnhem of manueel therapeut. We kunnen uw voet losmaken, intapen en we geven u oefeningen om uw voet te versterken! Wij kijken ook waarom een voet bijvoorbeeld inzakt of doorzakt. Dat gebeurt vaak om een ander probleem in het lichaam op te lossen.
Behandeling Hielspoor fysiotherapeut Arnhem, Hielspoor Fysio Arnhem
De fysiotherapeut of podoloog kan door echo onderzoek van uw voet zeggen of u hielspoor heeft. Indien u een hielspoor heeft, overleg met Fysio Arnhem wat de beste behandeling is. Wij gaan u helpen!
- Onze fysiotherapeut kan uw voet tapen, we kunnen u zelf leren tapen
- Schockwave Therapie
- Dry Needling
- Massage voet en kuit
- Oefeningen om uw voet losser en sterker te maken
Adviezen bij hielspoor Fysiotherapie Arnhem
- Ga niet heel lang achter elkaar lopen of staan. Ga even zitten als u lang heeft gestaan of gelopen.
- Blijf wel in beweging. Steeds stilzitten is niet goed. Ga zitten als u pijn krijgt.
- Loop niet op blote voeten als de pijn daardoor erger wordt.
- Draag schoenen waarmee u zo weinig mogelijk pijn heeft. Probeer uit welk soort schoen dit bij u is. Bijvoorbeeld:
- Schoenen met een zacht voetbed, hardloopschoenen werken vaak goed
- Zorg voor schoeisel met veel hakdemping
- Schoenen moeten een flexibele zool hebben
- Vermijd wandelen op Berg wandelschoenen
- Schoenen die steun geven voor de hiel, de hak van de schoen moet wel veel vering te hebben
- Als u gaat sporten: voorkom dat de pijn erger wordt. Dit zijn de adviezen:
- Sport minder hard dan eerst
- Begin elke keer rustig en bouw langzaam op
- U kunt beter niet sporten op harde grond als dit pijn doet. Sport liever op gras of in het bos.
- Als u pijn blijft houden als u sport: kies voor een sport waarbij u minder op uw voet leunt, loopt of rent. Bijvoorbeeld zwemmen of fietsen
- Soms sturen u door naar een podotherapeut in Arnhem
- Omega-3 vetzuren hebben een ontstekingsremmend effect en kunnen daarom een rol spelen bij het herstel van een peesblessure. Eet wekelijks vette vis, of neem omega 3 capsules.
- Vitamine C is erg belangrijk voor peesherstel
Probeer de adviezen in ieder geval 3 maanden uit te voeren.