Onze register podoloog Arnhem is ook podoposturaal therapeut en fysiotherapeut. De podoposturaal therapeut kijkt in zijn onderzoek extra uitgebreid naar wat een zooltje doet met de verdere lichaamshouding.
Omdat wij naast Podologie ook Fysiotherapie en Manuele Therapie bieden, hebben wij een extra brede kijk op hoe een steunzool de lichaamshouding van de mens kan verbeteren.
We zijn gespecialiseerd in het behandelen van:
- Hielspoor (hiel pijn hak pijn)
- Fasciitis plantaris (peesplaatontsteking)
- Pijn Achillespees (Achillespeesklachten, Achillespeesontsteking)
- Beenlengteverschil
- Bekkenscheefstand
- Scoliose (kromming in de rug)
- Peesontsteking Enkel
- Peesontsteking Voet of Teen
- Sever Shinz (hiel of hakpijn bij kinderen)
- Hernia Rug
- Rugpijn, o.a. Ischias en Spit
- Pes Cavus (Holvoet)
- Pes Planus (Platvoet, doorgezakte voeten)
- Pes transversus (Spreidvoet of doorgezakte voorvoet)
- Mortonse Neuralgie (mortonse neuroom, doofheid tenen)
- Shin Splints (compartimentssyndroom, logesyndroom)
- Pijn Voorvoet (metatarsalgie)
- Hallux Valgus (scheve grote teen)
- Marsfractuur (breuk middenvoetsbeentje)
- Wratten
- Eelt en Likdoorn onder de voet (eeltpit, eksteroog)
- Bunion (bult zijkant voet)
- Haglundse Exostose ( bult achterop hak)
- Morbus Köhler 1 (Ziekte van Köhler 1)
- Ziekte van Freiberg ( Morbus Köhler 2)
- Tarsaal Tunnel Syndroom ( Tarsale Tunnel Syndroom)
- Klauwtenen en Hamertenen
- Verzwikte of Verstuikte enkel
Staat uw klacht niet in dit rijtje, kijk dan even HIER.
Onderaan de pagina wordt verder ingegaan op de bovengenoemde lichamelijke klachten.
Onderzoek Podologie
De podoloog Arnhem onderzoekt uw voet en uw lichaamshouding. Uw pijnklacht wordt gediagnosticeerd. Uw voetstand en uw looppatroon wordt geanalyseerd. Daarna maakt de podoloog een scan van uw voet en maakt steunzolen voor u op maat. Uw zolen zijn meestal binnen 1 week klaar.




Hielspoor of Fasciitis Plantaris? (peesblad ontsteking onder de voet)
Een hielspoor of peesplaatontsteking( fasciitis plantaris), geeft hakpijn, hielpijn en met name pijn onder de hak of hiel. Hieronder kunt u lezen hoe zo’n ontsteking of hielspoor ontstaat.
De voet is als het ware een driehoek. Bij lopen en lang staan zakt de voet iets in. De peesplaat ( plantaire fascie) aan de onderkant van de voet vangt deze kracht op zodat de driehoek niet inzakt. Zakt de voet wel in dan komt er meer rekspanning op de onderste peesplaat van de voet te staan.

Bij het doorzakken van de voet kan het peesblad onder de voet teveel op rek komen. Het peesblad kan geïrriteerd raken en gaan ontsteken. Dit noemen we fasciitis plantaris (peesplaat ontsteking in de voet). Door langdurig verhoogde rekspanning op het peesblad, verkalkt een deel van de peesplaat op de aanhechting van de hiel. Deze verkalking of calcificatie noemt men een hielspoor. Een verkalking kan pijnvrij zijn, maar soms ontstaat er door druk toch een ontsteking. Deze ontsteking kan erg pijnlijk zijn. De pijn in de hiel kan zo erg zijn, dat mensen moeite hebben met lopen.
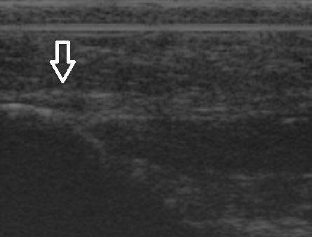
De podoloog Arnhem maakt een echo van uw voet om te kunnen zien of er sprake is van fasciitis plantaris of een hielspoor. Combinaties van beide klachten komen vaak voor.



De podoloog maakt anti hielspoor zolen, die ervoor zorgen dat de voet niet inzakt. Daarnaast maakt hij een zachte uitsparing onder de aanhechting van het peesblad van de voet. Daardoor zal de hielpijn onder de voet snel afnemen.
Beenlengteverschil
Veel mensen hebben in meer of mindere mate een beenlengteverschil en een scoliose (scheefstand rug). Een beenlengteverschil ontstaat meestal doordat het bekken naar voren gekanteld staat (anterior tilt ilium). Hierdoor lijkt het been langer. Dit kunnen wij behandelen door uw rug en bekken te behandelen. Door de rug en het bekken los te maken kunnen we ook het beenlengteverschil oplossen. Deze behandeling kan worden uitgevoerd door onze fysiotherapeut of manueel therapeut.
Soms ontstaat een beenlengteverschil door andere oorzaken:
- Beenlengteverschil na een nieuwe heup (THP)
- Beenlengteverschil na botbreuk of operatie aan het been
- Structurele scoliose
- Groeistoornis bot
- Botbreuk benen in kindheid tijdens groei
- Nieuw heup
Heet u een beenlengteverschil door de drie laatst genoemde oorzaken? Dan kan de podoloog kan het beenlengteverschil ook verhelpen door de linker of rechter zool dikker te maken.
Ontsteking Achillespees (Achillespees tendinopathie/ tendinitis)
Heeft u een pijnlijke achillespees? Het kan zijn dat de achillespees overbelast of ontstoken is. Een ontsteking van de achillespees kan ontstaan door verschillende oorzaken:
- Inzakken van de voet naar binnen (platvoet)
- holvoet stand, waarbij er juist teveel druk is op de buitenzijde van de voet
- Instabiliteit enkel, waardoor de hiel teveel beweegt
- Beperkte dorsaalflexie van de enkel
- Overbelasting
- Te gespannen Kuitspieren (Hypertonie)
De podoloog Arnhem maakt een zool die de afwijkende voetstand corrigeert zodat de achillespees rust krijgt. Daarnaast geeft onze fysiotherapeut gerichte oefeningen om uw pijn te verminderen en uw enkel te versterken.
Mortonse Neuralgie of Mortons Neuroom
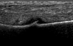
Mortonse neuralgie wordt ook wel Morton Neuroom genoemd. Mortonse neuralgie is een zenuwinklemming tussen twee middenvoetsbeentjes. De pijn bevindt zich vaak rond de derde en de vierde teen. De zenuw tussen de middenvoetsbeentjes raakt geïrriteerd en kan gaan opzwellen( Neuroom). De pijn kan branderig aanvoelen, soms treedt ook een doof gevoel op rond de derde en vierde teen.

Mortonse Neuralgie is door de podoloog goed te diagnosticeren. De neuroom ( zenuwverdikking) is soms duidelijk zichtbaar tijdens ons echo-onderzoek. Compressie van alle middenvoetsbeentjes, het knijpen in de voorvoet zal de klachten provoceren. Vaak horen we bij het knijpen in de voorvoet ook een klik (Mulder’s Kliktest). Deze klik wordt veroorzaakt door het verspringen van het neuroom tussen de middenvoetsbeentjes van de derde en vierde teen.
Door langdurige beklemming van de zenuw kan er een verdikking in deze zenuw ontstaan, waardoor de klachten verergeren. De inklemming van de zenuw verschillende oorzaken kan hebben.
Onze podoloog Arnhem maakt een zool die de het doorzakken van de voorvoet verhelpt. De podoloog maakt een steunzool die de middenvoetbeentjes uit elkaar spreid, waardoor de zenuw meer ruimte heeft en kan herstellen. We zijn expert in het behandelen van Mortonse Neuralgie.
Sever Shinz (Morbus Sever)
Sever Schinz of Morbus Sever is een ontsteking van de groeischijf (apofyse) van de hiel. De aandoening komt het meest voor bij kinderen van 7 tot 12 jaar, die actief sporten. De pijn bevindt zich op de achterkant van de hak in de buurt van de achillespees. Soms is er een zwelling zichtbaar bij de aanhechting van de achillespees.
De Sever Shinz klachten ontstaan vaak wanneer een kind ineens veel gaat sporten, of ineens meer gaat sporten. De groeischijf van de hiel kan dan overbelast raken en gaan ontsteken.
Het syndroom van Sever Schinz zal vanzelf verdwijnen als het kind is uitgegroeid. De klachten kunnen dus langdurig aanwezig zijn.
De podoloog maakt een zool die de voet ondersteund en veel demping geeft, zodat de hak minder druk en schokken krijgt. Hiermee nemen we de hielpijn vaak helemaal weg.
Als uw kind heel erg veel sport, is sportreductie soms ook belangrijk om de klachten te verminderen.
Shin Splint- Shin Splints
Shin splint is een verzamelnaam voor verschillende pijnklachten aan het scheenbeen. Je voelt pijn aan de voorkant van je scheenbeen. Soms voelt het scheenbeen of de scheenbeenspier ook doof aan.
Er zijn dus verschillende shin splint variaties: compartimentssyndroom of logesyndroom, springschenen, beenvlies ontsteking of mediaal tibiaal stress syndroom. Shin Splints is een veel voorkomende klacht bij sporters en met name bij hardlopers. Je kunt het krijgen door overbelasting of verkeerd schoeisel. Je kunt de klachten voorkomen door je training rustig op te bouwen en gevarieerd te trainen.
Schoenen met te weinig steun of demping kunnen de klachten veroorzaken. Als uw voet te ver doorzakt (overpronatie), dan komt er meer rekspanning op de spieren, pezen en banden (fascia), waardoor het scheenbeen pijn gaat doen. Wandelen of rennen in heuvelachtig of bergachtig gebied kan ook een oorzaak zijn van shin splints, het scheenbeen wordt bij deze activiteiten namelijk zwaard belast.
Onze fysiotherapeut en podoloog zullen uw klacht onderzoeken en een behandelplan opstellen. Vaak kunnen we de pijn binnen 4 behandelingen aanzienlijk verminderen.
De podoloog Arnhem geeft u schoenadvies en zal indien nodig een steunzool maken, die de voet meer steun en demping geeft. Hierdoor wordt de stand van de voet verbeterd en krijgt het onderbeen minder schokken. De fysiotherapeut zal uw been behandelen en ook trainingsadviezen geven.
Voorvoetpijn (Metatarsalgie)
Metatarsalgie is een medische benaming voor voorvoetklachten. Vaak zijn er pijnklachten aanwezig in de bal van de voet. Deze klachten kunnen ontstaan door overbelasting van de middenvoetsbeentjes en de gewrichten in de voorvoet.
Door een doorgezakte voorvoet of een holvoet kunnen pijnklachten ontstaan in de voorvoet. Ook als het middenvoetsbeentje van de grote teen korter is dan het middenvoetsbeentje van de tweede teen ontstaat er meer druk onder de voorvoet. Overgewicht en langdurige belasting, bijvoorbeeld bij bepaalde werkzaamheden, kunnen een rol spelen bij het ontwikkelen van metatarsalgie. Ook schoenen met een hoge hak kunnen leiden tot pijnklachten onder de bal van de voet.
In de voorvoet is een stekende of brandende pijn aanwezig, met name met lopen en stilstaan. Hoe meer belasting, hoe pijnlijker. Als de voorvoet warm en dik is, is sprake van een ontsteking in de voorvoet.
De podoloog van Podologie Arnhem geeft u schoenadvies. Er wordt gekeken of het nodig is om steunzolen aan te laten meten om de standsafwijking van de voet te corrigeren of de druk onder de voorvoet te reduceren.
Voor meer informatie over voorvoet pijn en oefeningen verwijzen we u naar: https://voetentraining.nl/metatarsalgie/hoe-kan-je-metatarsalgie-behandelen-train-je-voeten/
Scheve grote teen (hallux valgus)
Scheefstand van de grote teen wordt hallux valgus genoemd. Als er ook nog rotatie van de grote teen aanwezig is, noemen we dat hallux abducto valgus. Vaak gaat dit gepaard met een knobbel bij het grote teengewricht. Dit komt vaker voor bij vrouwen dan bij mannen.
De oorzaak van een hallux valgus is vaak erfelijk. Ook kan de grote teen krom gaan staan door te smalle of krappe schoenen. Daarnaast kan ook het doorzakken van de voet de scheefstand van de grote teen veroorzaken.
Een scheve grote teen (hallux valgus of hallux abducto valgus) geeft soms pijn rond de grote teen. Door de scheefstand van de grote teen kunnen de andere tenen krom gaan staan. Vaak zijn er ook eeltplekken aanwezig op de voorvoet en grote teen. Soms ontstaat er een bunion (bult eelt en botuitgroei) rond het grote teengewricht.
Schoeisel speelt een belangrijke rol in de behandeling van een hallux (abducto) valgus. De podoloog van Podologie Arnhem zal u een passend schoenadvies geven. Onze podoloog kan steunzolen vervaardigen om een verkeerde voetstand te corrigeren en het grote teengewricht te ontlasten. De zolen kunnen pijnverlichting geven en het verder scheef gaan staan van de grote teen afremmen. De podoloog kan u ook oefeningen meegeven, zodat u de grote teen soepeler maakt.
We kunnen u ook leren om de grote teen te tapen, zodat de grote teen wat rechter staat. Dit is bijvoorbeeld handig als u een lange wandeling wilt maken.
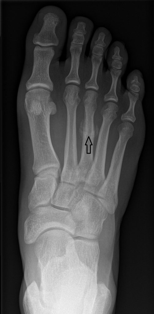
Marsfractuur
Een marsfractuur wordt ook wel stressfractuur, stressbreuk of vermoeidheidsbreuk genoemd. Een marsfractuur is een micro botbreuk van een of meerdere middenvoetsbeentjes. Deze botbreuk kan ontstaan door het lopen van lange wandelingen of een mars. Ook bij marathon lopers komt een marsfractuur voor.
Door overbelasting van de middenvoetsbeentjes, kunnen er microscheeurtjes in het bot ontstaan. Als de microscheurtjes aanwezig zijn en men loopt toch langdurig door, kan het middenvoetsbeentje scheuren.
Een marsfractuur is pas 2 weken na de breuk zichtbaar op een röntgenfoto. Als u dus meteen na de wandeling veel pijn heeft en een röntgenfoto laat maken, zal de breuk niet meteen zichtbaar zijn. Dit komt omdat de scheurtjes vaak klein zijn en na 2 weken is er pas zichtbaar dat er extra bot wordt aangemaakt op de plek van de kleine breuk. (zie afbeelding onder)


Bij Podologie Arnhem, maken de podoloog meteen een echo, waardoor we sneller een diagnose kunnen stellen. De podoloog zal u adviseren om tijdelijk niet, of zo weinig mogelijk te wandelen. Ook zal hij een steunzool maken om de aangedane plek drukvrij te leggen.
Wratten
De podoloog Arnhem kan uw wratten behandelen met een HTC pen. Deze behandeling is niet pijnlijk en net zo effectief als een stikstof behandeling van de huisarts. De HTC pen werkt veel effectiever dan middelen uit de apotheek.
Daarnaast kan de podoloog van Podologie Arnhem steunzolen maken die de wrat drukvrij legt, zodat deze beter kan genezen.
Eelt en drukplekken onder de voet
Sommige mensen hebben veel last van eelt of pijnlijke drukplekken onder de voet. Soms vormt er zich door teveel druk een eksteroog of eeltpit in de voet. De podoloog maakt voor u een steunzool, waarbij de drukplekken drukvrij gelegd kunnen worden. Hierdoor zal het eelt en de drukplekken verdwijnen. Zo hoeft u minder vaak naar de pedicure om eelt te laten verwijderen.
Bunion (tailor’s bunion)
Een Tailor’s Bunion is een bult aan de buitenzijde ter hoogte van het kleine teengewricht. Er is veel eeltvorming rond het gewricht. Soms is er sprake van extra botuitgroei. De tailor’s bunion ontstaat vaak doordat er teveel druk staat op de buitenzijde van de voorvoet. Het kan ook voorkomen dat de tailor’s bunion ontstaat door een standsawijking van de het middenvoetsbeentje van de kleine teen. Tailor betekent in het Engels kleermaker. Tijdens kleermakerszit ontstaat er druk op de buitenzijde van de kleine teen. Deze zithouding kan ook een tailor’s bunion veroorzaken.
De Bunion kan worden behandeld door steunzolen te maken die de druk op de buitenzijde van het middenvoetsbeentje van de kleine teen vermindert. Ook kunnen we vilttechnieken gebruiken om de bunion drukvrij te leggen. Daarnaast is het erg belangrijk dat u schoenen draagt met een brede leest. Schoenen met een puntig uitlopende voorvoet geven juist druk op de bunion.
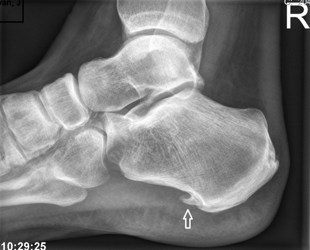
Haglundse Exostose
Een Haglundse exostose is een knobbel achterop de hak. Deze knobbel bestaat uit bot. De knobbel kan erfelijk aanwezig zijn, maar kan ook ontstaan door teveel trekkracht van de achillespees op de aanhechting van de hiel. De botknobbel kan pijnlijk, rood en gezwollen zijn.
Bij podologie Arnhem geven we een schoenadvies, zodat de druk op de botknobbel vermindert. De podoloog kan ook een steunzool maken met een hakverhoging. Door de steunzool vermindert de trekkracht op de aanhechting van de achillepees, hierdoor zal de pijn ook afnemen. Daarnaast kan deze klacht ook goed behandeld worden met shockwave therapie.
Morbus Köhler 1 (ziekte van Köhler 1)

De ziekte van Köhler 1 is een zeldzame aandoening van een voetwortelbeentje, namelijk het het os naviculare botstuk. Er is sprake een groeistoornis dit botstuk. De aandoening komt bijna alleen voor bij kinderen onder de leeftijd van 9 jaar. Vaak komt het probleem eenzijdig voor. Köhler 1 komt vijf keer vaker voor bij jongens dan bij meisjes. De oorzaak van de ziekte van Köhler 1 is onbekend, maar lijkt te ontstaan door een gebrek aan doorbloeding van het os naviculare. Als de klacht niet wordt behandeld kan het bot afsterven. De podoloog kan een steunzool maken die de voetboog ondersteund, waardoor het aangedane botstuk wordt vrijgelegd van druk. De fysiotherapeut en podoloog kunnen de voet ook ondersteunend tapen, waardoor de pijn afneemt. Mocht de steunzool en de taping niet afdoende helpen, dan kan de voet 6 weken worden ingegipst.
Morbus Köhler 2 (ziekte van Freiberg)
Morbus Köhler 2, wordt ook wel de ziekte van Köhler 2, of de ziekte van Freiberg genoemd. Köhler 2 is een groeistoornis van het tweede middenvoetsbeentje. Het tweede middenvoetsbeentje kan deels afsterven door een gebrek aan doorbloeding. De ziekte kan ontstaan tijdens de puberteit. Bij meisjes komt de aandoening vaker voor dan bij jongens.
Bij Köhler 2 is er sprake van pijn onder de bal van de voet, namelijk in het tweede middenvoetsbeentje. De pijn kan een tijdje verdwijnen en later weer terugkomen. De voorvoet kan ook dik en opgezwollen zijn. Daarnaast is het tweede middenvoetsbeentje vaak stijf en pijnlijk bij beweging. De pijn kan zelfs zo erg worden dat lopen bijna niet meer mogelijk is. Door de ziekte van Köhler 2 kan osteoporose optreden, waardoor het tweede middenvoetsbeentje zelfs kan breken.

De podoloog van podologie Arnhem, kan een steunzool maken die ervoor zorgt dat het tweede middenvoetsbeentje drukvrij wordt gelegd. Onze podoloog maakt een uitsparing op de plek waar het tweede middenvoetsbeentje land. Daarnaast is het belangrijk dat de voet zes weken lang niet wordt overbelast. Dit is ook belangrijk om het bot te laten herstellen. Morbus Köhler 2 geneest meestal niet vanzelf, neem contact op met de podoloog om een afspraak te maken.
Tarsale Tunnel Syndroom
Het Tarsale Tunnel Syndoom (TTS), wordt ook wel Tarsaal Tunnel Syndroom genoemd. Bij dit Syndroom itreedt er een inklemming op van een voetzenuw . Deze zenuw (nervus tibialis posterior) loopt aan de binnenzijde van de enkel. De beklemming, of verrekking van deze zenuw kan er voor zorgen dat het gevoel en ook de motoriek van de voet afnemen. Het Tarsaal Tunnel Symdroom komt vaker voor bij vrouwen, dan bij mannen.
Oorzaken Tarsale Tunnel Syndroom:
- Vocht (of oedeem) in de enkel
- Doorgezakte voet (hierbij wordt de zenuw overrekt)
- Verzwikte enkel ( door je enkel gaan)
Symptomen van het Tarsaal Tunnel Syndroom:
- Doffe, vage pijn rond de binnenzijde van de enkel of de hiel
- Pijn die uitstraalt aan de binnenzijde van de enkel
- Stekende, branderige pijn in de voetzool

De register podoloog Arnhem is tevens fysiotherapeut en podoposturaal therapeut. Doordat wij de combinatie van podologie, fysiotherapie en podo posturale therapie bieden, kijken wij dus met een bredere blik naar uw lichamelijke klachten. Onze podoloog heeft hierdoor een bredere visie op klachten, dan enig andere podotherapeut (podotherapie) in Arnhem. Voor sommige klachten maakt de podoloog steunzolen, daarnaast kunnen andere problemen worden behandeld door de fysiotherapeut of manueel therapeut.
Wilt u meer informatie over steunzolen, neem contact op met Podologie Arnhem: 06-41824108. Info@bergman-fysio-podo.nl